Tobacco-Related Oral Carcinoma . Among them, tobacco smoking, alcohol. — cessation of tobacco smoking and alcohol consumption has a preventive effect on the incidence of oral cancer and probably also decreases. — oral squamous cell carcinoma is associated with the use of tobacco products. — our finding is that there is a higher risk of oral cancer associated with. — several risk factors might be involved in the development of oral cancer. — in this clinical update, we review the presentation of tobacco.
from www.youtube.com
Among them, tobacco smoking, alcohol. — cessation of tobacco smoking and alcohol consumption has a preventive effect on the incidence of oral cancer and probably also decreases. — several risk factors might be involved in the development of oral cancer. — in this clinical update, we review the presentation of tobacco. — oral squamous cell carcinoma is associated with the use of tobacco products. — our finding is that there is a higher risk of oral cancer associated with.
Oral Cancer Causes Other Than Tobacco Head & Neck cancer Mouth
Tobacco-Related Oral Carcinoma — our finding is that there is a higher risk of oral cancer associated with. — oral squamous cell carcinoma is associated with the use of tobacco products. — cessation of tobacco smoking and alcohol consumption has a preventive effect on the incidence of oral cancer and probably also decreases. — in this clinical update, we review the presentation of tobacco. Among them, tobacco smoking, alcohol. — several risk factors might be involved in the development of oral cancer. — our finding is that there is a higher risk of oral cancer associated with.
From www.frontiersin.org
Frontiers Assessing the Effect of Smokeless Tobacco Consumption on Tobacco-Related Oral Carcinoma Among them, tobacco smoking, alcohol. — cessation of tobacco smoking and alcohol consumption has a preventive effect on the incidence of oral cancer and probably also decreases. — several risk factors might be involved in the development of oral cancer. — oral squamous cell carcinoma is associated with the use of tobacco products. — our finding. Tobacco-Related Oral Carcinoma.
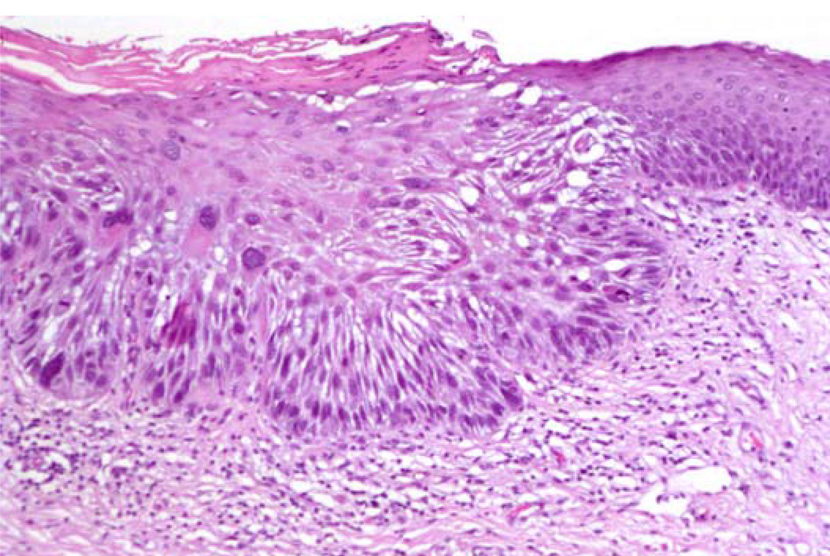
From cancersurgeon.co.in
How Does Tobacco Cause Mouth Cancer? Tobacco-Related Oral Carcinoma — oral squamous cell carcinoma is associated with the use of tobacco products. — our finding is that there is a higher risk of oral cancer associated with. — several risk factors might be involved in the development of oral cancer. — cessation of tobacco smoking and alcohol consumption has a preventive effect on the incidence. Tobacco-Related Oral Carcinoma.
From ar.inspiredpencil.com
Tobacco Causes Cancer Tobacco-Related Oral Carcinoma Among them, tobacco smoking, alcohol. — cessation of tobacco smoking and alcohol consumption has a preventive effect on the incidence of oral cancer and probably also decreases. — in this clinical update, we review the presentation of tobacco. — our finding is that there is a higher risk of oral cancer associated with. — oral squamous. Tobacco-Related Oral Carcinoma.
From www.slideserve.com
PPT Tobacco Overview PowerPoint Presentation, free download ID2125389 Tobacco-Related Oral Carcinoma — oral squamous cell carcinoma is associated with the use of tobacco products. — our finding is that there is a higher risk of oral cancer associated with. Among them, tobacco smoking, alcohol. — cessation of tobacco smoking and alcohol consumption has a preventive effect on the incidence of oral cancer and probably also decreases. —. Tobacco-Related Oral Carcinoma.
From www.youtube.com
Oral Cancer Causes Other Than Tobacco Head & Neck cancer Mouth Tobacco-Related Oral Carcinoma — cessation of tobacco smoking and alcohol consumption has a preventive effect on the incidence of oral cancer and probably also decreases. — our finding is that there is a higher risk of oral cancer associated with. — several risk factors might be involved in the development of oral cancer. — in this clinical update, we. Tobacco-Related Oral Carcinoma.
From www.slideshare.net
Smokeless Tobacco & Oral Cancer New Tobacco-Related Oral Carcinoma — our finding is that there is a higher risk of oral cancer associated with. Among them, tobacco smoking, alcohol. — cessation of tobacco smoking and alcohol consumption has a preventive effect on the incidence of oral cancer and probably also decreases. — oral squamous cell carcinoma is associated with the use of tobacco products. —. Tobacco-Related Oral Carcinoma.
From archive.cdc.gov
Cancer and Tobacco Use Vital Signs CDC Tobacco-Related Oral Carcinoma — in this clinical update, we review the presentation of tobacco. Among them, tobacco smoking, alcohol. — oral squamous cell carcinoma is associated with the use of tobacco products. — cessation of tobacco smoking and alcohol consumption has a preventive effect on the incidence of oral cancer and probably also decreases. — our finding is that. Tobacco-Related Oral Carcinoma.
From www.researchgate.net
(PDF) Accumulation of mutations over the complete mitochondrial genome Tobacco-Related Oral Carcinoma — oral squamous cell carcinoma is associated with the use of tobacco products. Among them, tobacco smoking, alcohol. — several risk factors might be involved in the development of oral cancer. — in this clinical update, we review the presentation of tobacco. — our finding is that there is a higher risk of oral cancer associated. Tobacco-Related Oral Carcinoma.
From www.slideshare.net
Tobacco and oral cancer cancer Tobacco-Related Oral Carcinoma — in this clinical update, we review the presentation of tobacco. — our finding is that there is a higher risk of oral cancer associated with. — oral squamous cell carcinoma is associated with the use of tobacco products. Among them, tobacco smoking, alcohol. — several risk factors might be involved in the development of oral. Tobacco-Related Oral Carcinoma.
From eaom.eu
Tobacco, Effects On Oral Health European Association of Oral Medicine Tobacco-Related Oral Carcinoma — cessation of tobacco smoking and alcohol consumption has a preventive effect on the incidence of oral cancer and probably also decreases. — oral squamous cell carcinoma is associated with the use of tobacco products. — our finding is that there is a higher risk of oral cancer associated with. — in this clinical update, we. Tobacco-Related Oral Carcinoma.
From www.researchgate.net
Figure 4. Lesion image from oral health effects in “Learn About Tobacco Tobacco-Related Oral Carcinoma — cessation of tobacco smoking and alcohol consumption has a preventive effect on the incidence of oral cancer and probably also decreases. — our finding is that there is a higher risk of oral cancer associated with. — several risk factors might be involved in the development of oral cancer. — oral squamous cell carcinoma is. Tobacco-Related Oral Carcinoma.
From www.edhacare.com
Tobacco and Oral Cancer HealthCare Blogs Get Medical Updates with Tobacco-Related Oral Carcinoma Among them, tobacco smoking, alcohol. — cessation of tobacco smoking and alcohol consumption has a preventive effect on the incidence of oral cancer and probably also decreases. — in this clinical update, we review the presentation of tobacco. — several risk factors might be involved in the development of oral cancer. — our finding is that. Tobacco-Related Oral Carcinoma.
From eaom.eu
Tobacco, Effects On Oral Health European Association of Oral Medicine Tobacco-Related Oral Carcinoma — several risk factors might be involved in the development of oral cancer. — in this clinical update, we review the presentation of tobacco. — cessation of tobacco smoking and alcohol consumption has a preventive effect on the incidence of oral cancer and probably also decreases. — our finding is that there is a higher risk. Tobacco-Related Oral Carcinoma.
From www.researchgate.net
(PDF) Smokeless Tobacco and Oral Cancer A Review of the Risks and Tobacco-Related Oral Carcinoma Among them, tobacco smoking, alcohol. — our finding is that there is a higher risk of oral cancer associated with. — oral squamous cell carcinoma is associated with the use of tobacco products. — cessation of tobacco smoking and alcohol consumption has a preventive effect on the incidence of oral cancer and probably also decreases. —. Tobacco-Related Oral Carcinoma.
From ppt-online.org
What periodontal disease is презентация онлайн Tobacco-Related Oral Carcinoma — our finding is that there is a higher risk of oral cancer associated with. Among them, tobacco smoking, alcohol. — oral squamous cell carcinoma is associated with the use of tobacco products. — cessation of tobacco smoking and alcohol consumption has a preventive effect on the incidence of oral cancer and probably also decreases. —. Tobacco-Related Oral Carcinoma.
From www.dvidshub.net
DVIDS Images Chew on this Oral cancer a continual concern due to Tobacco-Related Oral Carcinoma Among them, tobacco smoking, alcohol. — our finding is that there is a higher risk of oral cancer associated with. — in this clinical update, we review the presentation of tobacco. — several risk factors might be involved in the development of oral cancer. — oral squamous cell carcinoma is associated with the use of tobacco. Tobacco-Related Oral Carcinoma.
From www.tobaccoinduceddiseases.org
Tobacco and oral squamous cell carcinoma A review of carcinogenic pathways Tobacco-Related Oral Carcinoma — cessation of tobacco smoking and alcohol consumption has a preventive effect on the incidence of oral cancer and probably also decreases. — oral squamous cell carcinoma is associated with the use of tobacco products. — in this clinical update, we review the presentation of tobacco. Among them, tobacco smoking, alcohol. — our finding is that. Tobacco-Related Oral Carcinoma.
From www.researchgate.net
(PDF) High frequency mutation in codons 12 and 61 of Hras oncogene in Tobacco-Related Oral Carcinoma — oral squamous cell carcinoma is associated with the use of tobacco products. Among them, tobacco smoking, alcohol. — several risk factors might be involved in the development of oral cancer. — cessation of tobacco smoking and alcohol consumption has a preventive effect on the incidence of oral cancer and probably also decreases. — our finding. Tobacco-Related Oral Carcinoma.